میکروسکوپ الکترونی روبشی (SEM) ابزاری پیشرفته است که دنیای نانو و ساختارهای ریز مواد را پیش روی ما میگذارد. با استفاده از پرتوهای الکترونی، SEM امکان مشاهده جزئیات سطح نمونهها با وضوح بسیار بالا را فراهم میکند و اطلاعات ارزشمندی درباره مورفولوژی و خواص مواد ارائه میدهد. تحلیل تصاویر SEM، درک عمیقتری از ساختارها و ویژگیهای مواد به پژوهشگران میدهد و نقش مهمی در تحقیقات علمی و صنعتی ایفا میکند.

خدمات تحلیل و تفسیر نتایج آنالیز SEM
ما دادههای آنالیزهای SEM شما را بررسی و تفسیر می کنیم.
میکروسکوپ الکترونی روبشی (SEM)
میکروسکوپ الکترونی روبشی (SEM) از پرتوی متمرکز الکترونی برای ایجاد تصویر بزرگنمایی شده از یک نمونه استفاده میکند. برای این منظور، پرتو الکترونی در یک الگوی منظم در سراسر سطح نمونه اسکن شده و از الکترونهایی که از نمونه خارج میشوند، برای ایجاد تصویر استفاده میشود.

نحوه بررسی سطح یک نمونه توسط میکروسکوپ الکترونی روبشی (SEM) مشابه شخصی است که در یک اتاق تاریک از یک چراغ قوه با پرتوی نور برای اسکن اشیا واقع بر روی دیوار استفاده میکند و با اسکن منظم چراغ قوه از کنار و حرکت تدریجی به پایین دیوار، تصویری از اشیاء را در حافظه خود ایجاد میکند. در تصویر برداری توسط SEM به جای چراغ قوه از پرتو الکترونی، به جای چشم از یک آشکارساز الکترونی و از یک صفحه نمایش و دوربین به عنوان حافظه استفاده میشود.

SEM ابزاری است که تصاویری از دنیای میکروفضا (1 میکرومتر = 6-^10 متر) و نانوفضا (1 نانومتر = 9-^10متر) ایجاد میکند. میکروسکوپهای الکترونی SEM میتوانند یک جسم را از حدود 10 تا 300000 برابر بزرگنمایی کنند. معمولاً یک نوار مقیاس (scale bar) روی تصاویر SEM ارائه میشود که برای محاسبه اندازه ذرات و مشخصات موجود در تصویر استفاده میشود. در میکروسکوپها هنوز هم اغلب از اصطلاح “میکرون” استفاده میکنند که کلمه قدیمی (غیر SI) برای میکرومتر است. تصاویر SEM رنگی ندارند و به صورت سیاه و سفید نمایش داده میشوند ولی میتوان آنها را با استفاده از نرم افزارهای مخصوص رنگ آمیزی کرد. تصاویر حاصل از SEM ممکن است به دلیل عمق میدان کاملاً سهبعدی به نظر برسند یا فقط سطح نمونه را نشان دهنده (به دلیل نفوذ حداقل پرتو الکترونی به نمونه).

آشکارسازهای SEMها میتوانند به طور معمول دو نوع تصویر SEM متفاوت را ثبت کنند: یک تصویر الکترونی ثانویه یا یک تصویر الکترونی برگشتی. در یک تصویر الکترونی ثانویه ثبت شده توسط SEM، سایههای خاکستری توسط توپوگرافی نمونه ایجاد میشوند ولی در تصاویر الکترونهای برگشتی، سایه های خاکستری ناشی از وزن اتمی عناصر تشکیلدهنده در نمونه هستند.
اصول پایه میکروسکوپ الکترونی روبشی (SEM)
اصول عملکرد SEM بر مبنای استفاده از پرتو الکترونی بهجای نور مرئی است. الکترونها به دلیل طول موج بسیار کوتاهتر نسبت به نور مرئی، قادرند تفکیکپذیری بسیار بالاتری ایجاد کنند. طول موج الکترون با توجه به رابطه دوبروی (λ = h/p) محاسبه میشود که در آن h ثابت پلانک و p تکانه الکترون است. برای الکترونهایی با انرژی شتابدهی در محدوده چند کیلوالکترونولت، طول موج آنها به مقیاس پیکومتر (۱۰⁻¹² متر) میرسد که چندین مرتبه کوچکتر از طول موج نور مرئی (۴۰۰ تا ۷۰۰ نانومتر) است.
در SEM، یک باریکه الکترونی با انرژی مشخص به سطح نمونه برخورد میکند. الکترونهای برخوردکننده با اتمهای نمونه برهمکنش کرده و الکترونها به صورتهای مختلفی مانند الکترونهای ثانویه، الکترونهای بازپراکندگی (Backscattered Electrons)، پرتوهای ایکس مشخصه و فوتونها از سطح نمونه خارج شده و به صورت سیگنال نمود مییابند. هر یک از این سیگنالها حاوی اطلاعاتی خاص از نمونه هستند. برای مثال، الکترونهای ثانویه اطلاعاتی درباره مورفولوژی سطحی میدهند، در حالیکه پرتوهای ایکس در آنالیز عنصری (EDAX) بهکار میروند.
تفاوت اصلی SEM و TEM در نوع تصویر بهدست آمده است. در TEM، الکترونها از درون نمونه عبور میکنند و تصویری دوبعدی با قدرت تفکیک بالا ایجاد میکنند. در حالیکه در SEM باریکه الکترونی سطح نمونه را اسکن کرده و تصویری سهبعدی با عمق میدان زیاد از سطح تولید میکند. این ویژگی باعث شده که SEM ابزاری بینظیر برای مطالعه ساختارهای سطحی، شکستگیها، پوششها و نانوساختارها باشد.
اجزای اصلی دستگاه SEM
یک میکروسکوپ الکترونی روبشی از چندین بخش کلیدی تشکیل شده است که هرکدام وظیفه خاصی در تشکیل تصویر دارند:
منبع الکترونی (Electron Gun)
منبع الکترونی مسئول تولید پرتو الکترونی اولیه است. سه نوع اصلی منبع الکترونی وجود دارد:
- تفنگ گرمایونی (Thermionic Gun): معمولاً از رشته تنگستنی (W) یا هگزا بورید لانتانوم (LaB₆) استفاده میشود. این منابع ساده و کمهزینهاند اما پایداری و روشنایی متوسط دارند.
- تفنگ نشر میدانی (Field Emission Gun, FEG): مبتنی بر پدیده تونلزنی کوانتومی است. روشنایی و همگرایی پرتو بسیار بالاست و امکان دستیابی به رزولوشن نانومتری فراهم میشود.
- منابع هیبریدی: ترکیبی از دو روش بالا که برای افزایش کارایی و طول عمر مورد استفاده قرار میگیرد.
سیستم شتابدهی و لنزهای الکترومغناطیسی
پس از تولید، الکترونها توسط یک ولتاژ مشخص(معمولاً بین ۱ تا ۳۰ کیلوالکترونولت) سرعت میگیرند. سپس توسط لنزهای الکترومغناطیسی متمرکز میشوند تا به باریکهای با قطر چند نانومتر برسند. کنترل دقیق همگرایی پرتو برای رسیدن به رزولوشن بالا ضروری است.
محفظه نمونه (Sample Chamber)
نمونه مورد آنالیز درون محفظهای تحت خلأ قرار میگیرد تا از پراکندگی الکترونها در برخورد با مولکولهای هوا جلوگیری شود. میزان خلأ بسته به نوع SEM متفاوت است.
سیستم جاروب (Scanning Coils)
برای ایجاد تصویر، پرتو الکترونی باید سطح نمونه را بهصورت خط به خط جاروب کند. این عمل توسط سیمپیچهای مغناطیسی (scanning coils) انجام میشود که پرتو را در دو جهت X و Y حرکت میدهند.
دتکتورها (Detectors)
در میکروسکوپ الکترونی روبشی (SEM)، دتکتورها یا آشکارسازها نقش مهمی دارند و مسئول جمعآوری سیگنالهای الکترونی تولید شده از برخورد پرتو الکترونی با نمونه هستند و اساساً تعیین میکنند چه تصویری از نمونه حاصل میشود.
به طور کلی وقتی پرتو الکترونی به سطح نمونه برخورد میکند، چند نوع سیگنال آزاد میشود. دتکتورها این سیگنالها را دریافت کرده و به سیگنالهای الکتریکی تبدیل میکنند. سپس سیگنالهای الکتریکی توسط سیستم پردازش SEM تحلیل شده و در نهایت به صورت تصویر روی صفحه نمایش نشان داده میشوند.


مکانیسم تشکیل تصویر در SEM
فرایند تشکیل تصویر در میکروسکوپ الکترونی روبشی حاصل برهمکنش پیچیده پرتو الکترونی با اتمهای موجود در نمونه است. وقتی الکترونهای پرانرژی اولیه به سطح نمونه برخورد میکنند، مجموعهای از پدیدهها رخ میدهد که هر کدام منجر به تولید سیگنالهای متفاوتی میشوند. مهمترین این پدیدهها عبارتاند از:
- الکترونهای ثانویه (Secondary Electrons, SE)
این الکترونها انرژی پایینی (معمولاً کمتر از ۵۰ الکترونولت) دارند و از لایههای سطحی (عمق کمتر از ۱۰ نانومتر) گسیل میشوند. به دلیل محدود بودن عمق گسیل، آنها برای ارائه جزئیات سطحی و مورفولوژی بسیار مفید هستند. تصویربرداری SE معمولاً دارای کنتراست بالای توپوگرافی است.
- الکترونهای بازپراکندگی (Backscattered Electrons, BSE)
این الکترونها انرژی بالاتری دارند و ناشی از پراکندگی الاستیک پرتو اولیه با هستههای اتمیاند. میزان بازپراکندگی به عدد اتمی نمونه وابسته است؛ عناصر سنگینتر الکترونهای بیشتری بازمیگردانند. از این رو، تصاویر BSE بیشتر بیانگر کنتراست ترکیبی (ترکیب شیمیایی) هستند تا توپوگرافی.
- پرتوهای ایکس (Characteristic X-rays)
بر اثر برهمکنش پرتو الکترونی با الکترونهای درونی اتمها، حفرههایی در لایههای الکترونی ایجاد میشود. الکترونهای لایههای بالاتر هنگام پر شدن این حفرهها، انرژی اضافی خود را بهصورت پرتو ایکس مشخصه آزاد میکنند. از آنجا که انرژی این پرتوها به تفاوت ترازهای انرژی در اتم بستگی دارد، هر عنصر طیف ایکس منحصربهفردی دارد. این پدیده اساس طیفسنجی پراکندگی انرژی (EDS) است.
- فوتونها و کاتدولومینسانس (Cathodoluminescence, CL)
برخی مواد در اثر بمباران الکترونی، فوتونهایی در محدوده مرئی یا فرابنفش نشر میکنند. این پدیده در مطالعه نیمههادیها و مواد لومینسانس کاربرد دارد.
- الکترونهای اوژه (Auger Electrons)
در برخی موارد، انرژی آزادشده بهجای تولید پرتو ایکس، به یک الکترون دیگر منتقل میشود که بهعنوان الکترون اوژه از سطح خارج میگردد. این سیگنالها برای آنالیز سطحی در عمقهای بسیار کم (چند نانومتر) کاربرد دارند.
با جمعآوری و آشکارسازی این سیگنالها توسط دتکتورهای مختلف، تصویر نهایی ساخته میشود. مهمترین مزیت SEM نسبت به میکروسکوپ نوری، عمق میدان زیاد آن است؛ بهطوریکه حتی سطوح ناهموار نیز با وضوح بالا و بدون خارج شدن از فوکوس قابل مشاهدهاند.

آمادهسازی نمونهها برای SEM
یکی از مراحل کلیدی در استفاده از SEM آمادهسازی صحیح نمونهها است. کیفیت آمادهسازی تأثیر مستقیم بر وضوح و صحت دادههای حاصله دارد.
- رسانایی نمونهها
از آنجا که پرتو الکترونی میتواند موجب تجمع بار الکتریکی در نمونههای نارسانا شود، نمونهها باید رسانا باشند. در غیر این صورت، تجمع بار منجر به جابجایی تصویر یا حتی آسیب به نمونه خواهد شد.
- پوششدهی (Coating)
برای رسانا کردن نمونههای نارسانا، معمولاً لایهای نازک از فلزات رسانا مانند طلا روی سطح آنها نشانده میشود. این کار علاوه بر افزایش رسانایی، بازدهی خروج الکترونهای ثانویه را نیز بهبود میدهد. در برخی موارد به جای فلز، پوشش نازک کربنی استفاده میشود، بهویژه زمانی که آنالیز شیمیایی (EDS) نیاز به اجتناب از پیکهای اضافی فلزی دارد.

- خشککردن و تثبیت نمونههای زیستی
نمونههای بیولوژیک مانند سلولها یا بافتها، بهطور طبیعی دارای آب هستند و نمیتوانند در شرایط خلأ مستقیم مورد بررسی قرار گیرند. برای این منظور، ابتدا نمونهها با مواد شیمیایی مانند گلوتارآلدئید تثبیت میشوند و سپس طی مراحلی خشککردن نقطه بحرانی (Critical Point Drying) یا انجماد سریع انجام میگیرد. این فرایند از تخریب ساختارها و جمعشدگی جلوگیری میکند.
- مقطعزنی و پولیش سطحی
در مطالعات مواد مهندسی و فلزی، گاهی لازم است سطح نمونهها پولیش مکانیکی یا یونی شوند تا سطحی صاف و بدون خط و خش ایجاد گردد. این امر به بهبود کیفیت تصاویر و دادههای ترکیبی کمک میکند.
چالشها
- پوششدهی بیش از حد میتواند جزئیات سطح نمونه را پنهان کند.
- عدم تخلیه مناسب هوا از محفظه موجب ایجاد اختلال در تصاویر میشود.
- نمونههای حساس به پرتوی الکترونی ممکن است دچار تخریب حرارتی یا شیمیایی شوند.
تکنیکها و قابلیتهای تحلیلی SEM
SEM تنها یک ابزار تصویربرداری نیست؛ بلکه با بهرهگیری از سیگنالهای مختلف میتواند طیف گستردهای از آنالیزها را ارائه دهد.
- تصویربرداری با الکترون ثانویه (SE Imaging)
این روش رایجترین حالت تصویربرداری در SEM است. تصاویر بهدستآمده دارای وضوح بالا و کنتراست مناسب از جزئیات سطحی هستند. این تکنیک در مطالعه شکستگیها، پوششهای نازک و ریزساختارها کاربرد فراوان دارد.
- تصویربرداری با الکترونهای بازپراکندگی (BSE Imaging)
این تصاویر بیشتر بیانگر کنتراست ترکیبی هستند. در نمونههای چندفازی یا آلیاژها، نواحی با عناصر سنگین روشنتر از نواحی با عناصر سبک ظاهر میشوند. این ویژگی بهخصوص در متالوگرافی و زمینشناسی ارزشمند است.
- آنالیز شیمیایی با طیفسنجی پراکندگی انرژی (Energy Dispersive X-ray Spectroscopy, EDS/EDX)
EDS یکی از رایجترین تکنیکهای تحلیلی در SEM است. با آشکارسازی پرتوهای ایکس مشخصه، ترکیب عنصری نمونه شناسایی میشود. این روش قادر است عناصر سبک تا سنگین (از بور تا اورانیوم) را شناسایی کند، البته حساسیت به عناصر سبکتر محدودتر است.
- پراش الکترون بازپراکندگی (Electron Backscatter Diffraction, EBSD)
EBSD تکنیکی پیشرفته برای مطالعه جهتگیری بلوری و بافت (Texture) در مواد چندبلوری است. این روش به پژوهشگران اجازه میدهد نقشههای کریستالوگرافی با دقت بالا به دست آورند. در مهندسی مواد، EBSD برای بررسی مرز دانهها، فازها و تغییر شکلهای پلاستیک بسیار ارزشمند است.
- میکروآنالیز اشعه ایکس (Wavelength Dispersive Spectroscopy, WDS)
هرچند کمتر رایج از EDS، اما WDS دقت و وضوح انرژی بیشتری در آنالیز عنصری دارد و قادر است عناصر با خطوط طیفی نزدیک را از هم تفکیک کند.
- ترکیب SEM با روشهای دیگر
در سالهای اخیر، ترکیب SEM با سایر تکنیکها مانند FIB (Focused Ion Beam) یا AFM (Atomic Force Microscopy) موجب افزایش گستره کاربردها شده است. برای مثال، FIB-SEM امکان مقطعزنی نانومتری و تصویربرداری سهبعدی از ساختارهای زیرسطحی را فراهم میکند.
بزرگنمایی در SEM
درک مفهوم مقدار بزرگنمایی در تصاویر SEM مهم است. به طور کلی، مقدار بزرگنمایی اطلاعاتی در مورد نسبت اندازه واقعی و تصویر بزرگ شده از نمونه ارائه میدهد. میکروسکوپ الکترونی SEM تصاویری با وضوح بالا را برای تجسم سطوح ماده تولید میکند. در طول فرآیند تصویربرداری، میزان بزرگنمایی تصویر نمونه توسط مقدار میزان بزرگنمایی (magnification) مشخص میشود. این بزرگنمایی معمولاً به صورت یک مقدار عددی (مانند 1000x یا 10000x) بیان میشود که نشان میدهد ساختارها یا ویژگیهای تصویر شده چند برابر بزرگتر از نمونه واقعی نشان داده شدهاند. یکی از ویژگیهای اساسی SEM توانایی بزرگنمایی در مقادیر مختلف است که ما را قادر میسازد که یک نمای کلی از ساختار سطح نمونه داشته باشیم و بتوانیم بر روی جزئیات ساختاری خاصی نیز متمرکز شویم. در شکل زیر تصاویر مربوط به ایلمنیت (Ilmenite) را با سطوح بزرگنمایی مختلف نشان میدهد که هدف آنها تجزیه و تحلیل (a) ترکهای موجود، (b) شیارها و (c) شکل ذرات در نمونه است.

کاربردهای SEM
میکروسکوپ الکترونی روبشی بهدلیل انعطافپذیری و توانایی بالای خود در تصویربرداری و آنالیز، تقریباً در تمامی شاخههای علمی و صنعتی کاربرد یافته است. برخی از رایجترین کاربردهای آن در علم مواد، علوم زیستی، شیمی، زمینشناسی، علوم پزشکی و علوم جنایی است. همچنین این تکنیک میتواند برای خلق آثار هنری دیجیتال مورد استفاده قرار گیرد. در ادامه به برخی از متداول ترین زمینه های کاربردی SEM پرداخته شده است.
کاربرد SEM در علم مواد
SEM یکی از اصلیترین ابزارها در شناسایی و بررسی ریزساختار مواد است. در علم مواد، برای مشاهده ، بررسی فازهای مختلف و سطوح شکستگی مواد استفاده میشود. بررسی سطح شکست نمونهها (Fractography) توسط SEM اطلاعات ارزشمندی درباره مکانیسم شکست (مانند شکنندگی و خستگی) در اختیار مهندسان قرار میدهد. همچنین در بررسی پوششها، خوردگی و اکسیداسیون، SEM ابزاری بیرقیب محسوب میشود. بسیاری از جنبههای توسعه فناوری پیشرفته مانند هوافضا، الکترونیک، انرژی، کاتالیز، محیط زیست، فوتونیک، شیمی و … بدون دادههای ارائه شده توسط SEM غیرممکن خواهد بود. تصویر زیر مربوط به یک ویفر سیلیکونی و ذرات روی سطح آن است.

کاربرد SEM در پزشکی
تصاویر SEM در پزشکی به منظور بررسی سلولهای خونی و نمونههای بافتی به منظور تعیین علت بیماری مورد استفاده قرار میگیرد. برخی دیگر از کاربردهای SEM شامل مطالعه دارو و تأثیر آن بر بیماران و همچنین تحقیق و توسعه جهت درمانهای جدید است. SEM همچنین به طور گسترده در تحقیق و توسعه ایمپلنتها، عوارض پزشکی، بافتهای آسیبدیده و تعامل سلولها با مواد زیستی (Biomaterials) مورد استفاده قرار میگیرد.

کاربرد SEM در زیست شناسی
در علوم زیستی، اشیاء بزرگ مانند حشرات و بافتهای حیوانی تا اشیاء کوچک مانند باکتریها توسط SEM مورد مطالعه قرار میگیرند. SEM میتواند در حشرهشناسی، باستانشناسی، علوم گیاهی، تحقیقات سلولی و … مورد استفاده قرار گیرد. در شکل زیر تصویر اول مربوط به یک کنه است و تصویر دوم گرده گل است.

کاربرد SEM در نانوتکنولوژی
SEM ابزاری کلیدی در مطالعه و توسعه نانوساختارهاست. نانولولههای کربنی، نانوذرات فلزی، گرافن و ساختارهای خودآرا با استفاده از SEM مشخصهیابی میشوند. به دلیل توانایی تصویربرداری با رزولوشن نانومتری و امکان ترکیب با آنالیز EDS و EBSD، SEM در خط مقدم تحقیقات نانوتکنولوژی قرار دارد.
کاربرد SEM در زمینشناسی و علوم معدنی
در مطالعات زمینشناسی، SEM برای بررسی ساختار بلوری، کانیها، فسیلها و شکستگیها استفاده میشود. با کمک دتکتورهای BSE و EDS میتوان ترکیب شیمیایی سنگها و کانیها را تعیین کرد. SEM حتی در صنعت نفت برای مطالعه تخلخل و بافت سنگهای مخزن بهکار میرود. تصویر زیر از یک نمونه معدنی است. نواحی روشن نشان دهنده وجود عناصر با عدد اتمی بالا و نواحی تیره نشان دهنده وجود عناصر با عدد اتمی پایین هستند.

کاربرد SEM در علوم بینرشتهای
میکروسکوپ SEM در باستانشناسی برای مطالعه مصنوعات تاریخی، در کشاورزی برای بررسی آفات و در صنعت داروسازی برای مشخصهیابی داروها و سیستمهای رهایش دارو کاربرد دارد. گسترهی وسیع کاربردهای SEM نشان میدهد که این ابزار تنها محدود به آزمایشگاههای پیشرفته نیست و در حوزههای کاربردی و صنعتی نیز نقشی اساسی ایفا میکند.
محدودیتها و چالشهای SEM
با وجود تواناییهای گسترده، SEM محدودیتهایی نیز دارد که شناخت آنها برای تفسیر صحیح دادهها ضروری است.
- نیاز به خلأ بالا
بیشتر دستگاههای SEM به شرایط خلأ نیاز دارند تا پرتو الکترونی بدون پراکندگی به نمونه برسد. این موضوع استفاده مستقیم از نمونههای زنده یا مرطوب را غیرممکن میکند. اگرچه SEM محیطی (ESEM) این محدودیت را تا حدی برطرف کرده، اما همچنان کیفیت تصویر در فشار بالا پایینتر است.
- آسیب پرتوی به نمونهها
پرتو الکترونی میتواند موجب آسیب حرارتی، شیمیایی یا ساختاری در نمونههای حساس شود. بهویژه مواد زیستی و پلیمری ممکن است در اثر بمباران الکترونی دچار تغییر یا تخریب شوند.
- آمادهسازی دشوار نمونهها
برخی نمونهها، بهویژه نمونههای بیولوژیک، نیازمند آمادهسازی پیچیدهای شامل تثبیت، آبگیری، خشککردن و پوششدهی هستند. هر مرحله میتواند موجب بروز آرتیفکت یا تغییر در ساختار طبیعی شود.
- محدودیت در تصویربرداری از نمونههای عایق
نمونههای نارسانا به دلیل تجمع بار الکتریکی، نیازمند پوشش فلزی یا استفاده از ولتاژهای کم هستند. این موضوع در برخی تحقیقات مانند مطالعه سطح واقعی مواد عایق، مشکلساز است.
- هزینه بالا و نیاز به اپراتور متخصص
دستگاه SEM بسیار گرانقیمت است و نگهداری آن نیازمند تخصص و تجهیزات جانبی (مانند پمپهای خلأ و منابع ولتاژ بالا) است. اپراتورها باید آموزشدیده باشند تا از بروز خطاهای اپراتوری جلوگیری شود.
پیشرفتهای جدید در SEM
فناوری SEM همچنان در حال توسعه است و پیشرفتهای متعددی در سالهای اخیر رخ داده است.
- SEM با فشار متغیر (Variable Pressure SEM, VP-SEM)
این دستگاهها امکان تصویربرداری از نمونههای مرطوب یا نارسانا را بدون نیاز به پوشش فلزی فراهم میکنند. با کنترل فشار محفظه، میتوان اثر بار الکتریکی را کاهش داد.
- SEM محیطی (Environmental SEM, ESEM)
ESEM انقلابی در مطالعه نمونههای زیستی و مواد هیدراته ایجاد کرده است. در این سیستمها میتوان نمونههای حاوی آب یا حتی موجودات زنده کوچک را در شرایط نزدیک به محیط طبیعی مشاهده کرد.
- ترکیب SEM با FIB (Focused Ion Beam)
دستگاههای FIB-SEM امکان برشهای نانومتری و ایجاد مقاطع سهبعدی را فراهم میکنند. این فناوری بهویژه در نیمههادیها، نانوتکنولوژی و علوم مواد پیشرفته کاربرد دارد.
- میکروسکوپهای SEM با رزولوشن فوقالعاده بالا
با پیشرفت منابع نشر میدانی (FEG) و سیستمهای پایدارسازی لرزش، دستگاههای SEM جدید قادر به دستیابی به رزولوشن در حد چند آنگستروم شدهاند. این امر مرز میان SEM و TEM را کمرنگتر کرده است.
تحلیل تصاویر SEM
تصاویر SEM فراتر از نمایش ظاهری هستند و در واقع هر پیکسل بازتابی از برهمکنش الکترون با ماده است. بنابراین با تحلیل درست تصاویر حاصل از SEM میتوان علاوه بر بررسی کیفی تصاویر به منظور بررسی مورفولوژی و ساختار نمونه، دادههای کمی مانند اندازه ذرات، توزیع، زبری سطح و … را نیز استخراج کرد. در ادامه به برخی از آنها پرداخته میشود.
- پیشپردازش تصاویر
پیش از هر تحلیل کمی، تصاویر SEM باید آمادهسازی شوند که مهمترین آنها کالیبراسیون مقیاس است یعنی اینکه با استفاده از نوار مقیاس (Scale bar) ضروری است تا ابعاد واقعی از روی پیکسل محاسبه شوند. همچنین کاهش نویز و بهبود کنتراست به بهبود کیفیت و تفکیک بهتر اجزای تصویر کمک میکنند.
- اندازهگیری مورفولوژیک
یکی از پرکاربردترین تحلیلها، اندازهگیری ابعادی و شکل ذرات یا ساختارهاست. برای این منظور، با استفاده از نرمافزارهایی مانند ImageJ میتوان قطر متوسط ذرات، توزیع اندازه و انحراف معیار را تعیین کرد. یا به بررسی شاخصهایی مثل نسبت طول به عرض یا گردی ذرات برای توصیف مورفولوژی پرداخت. همچنین میتوان با تهیه مقاطع عرضی و تحلیل تصاویر، ضخامت پوششهای نازک یا فیلمها را تعیین کرد.
- آنالیز سطح و بافت
SEM امکان بررسی کمی زبری و بافت سطحی را میدهد. هرچند SEM ابزار پروفیلومتری مستقیم نیست، اما با استفاده از تصاویر سهبعدی بازسازیشده یا ترکیب با نرمافزارهای بازسازی، میتوان شاخصهای زبری مانند Ra یا Rq را برآورد کرد. همچنین SEM با مطالعه سطح شکست (Fractography) امکان تشخیص مکانیسمهای شکست (مانند رشد ترک خستگی یا شکست شکننده) را فراهم میکند.
- تحلیل کنتراست ترکیبی
در تصاویر BSE، کنتراست مستقیماً به عدد اتمی عناصر وابسته است.
مناطق روشنتر نشاندهنده عناصر سنگینتر هستند.

چرا ما را انتخاب کنید؟
پشتیبانی 24 ساعته در 7 روز هفته
تجزیه و تحلیل دقیق توسط متخصصین
تضمین کیفیت و رضایت
بازبینی رایگان پس از تکمیل سفارشات
قیمت مناسب
پارامترهای قابل اندازهگیری با آنالیز SEM
ضخامت لایهها و پوششهای نازک
در تحلیل پوششهای نازک، میکروسکوپ الکترونی روبشی (SEM) یکی از ابزارهای کلیدی به شمار میرود که امکان بررسی دقیق مورفولوژی سطح و ضخامت لایهها را فراهم میآورد. برای تعیین ضخامت پوششهای نازک، معمولاً از تصاویر مقطع عرضی (cross-sectional imaging) استفاده میشود تا مرز بین لایه و زیرلایه به وضوح قابل مشاهده باشد. اختلاف چگالی و ترکیب شیمیایی بین لایهها باعث ایجاد کنتراست الکترونی میشود که در تصاویر SE و BSE قابل تفکیک است. با استفاده از مقیاسهای عددی موجود در تصاویر و نرمافزارهای تحلیلی مانند ImageJ، ضخامت لایهها با دقت نانومتری اندازهگیری میگردد. علاوه بر این، ترکیب SEM با آنالیز پراش انرژی پرتو ایکس (EDS) امکان تشخیص مرز دقیق لایهها و تحلیل ترکیب شیمیایی پوشش را نیز فراهم میآورد، به گونهای که ضخامت و نوع پوششها بهصورت همزمان ارزیابی میشود. این روش در مطالعات پوششهای فلزی، سرامیکی و نانوکامپوزیتی کاربرد گسترده دارد. به عنوان مثال تصویر SEM مربوط به پوششهای چندلایه TiN/TiCN/TiC بر روی زیرلایه Ti6Al4V نشان داده شده است که مقطع عرضی ضخامت لایهها را در حدود 3.065 میکرومتر است.

مورفولوژی و ظاهر سطح
بررسی مورفولوژی و ویژگیهای سطحی مواد با استفاده از میکروسکوپ الکترونی روبشی (SEM) یکی از روشهای کلیدی در شناسایی و تحلیل ریزساختار مواد است. این روش با استفاده از پرتو الکترونی متمرکز، امکان مشاهدهی جزئیات سطح در مقیاسهای میکرو و نانو را فراهم میسازد و اطلاعات دقیقی دربارهی شکل، اندازه، توزیع و یکنواختی ذرات یا پوششها ارائه میدهد. در آنالیز SEM، الکترونهای ثانویه و برگشتی حاصل از برهمکنش پرتو الکترونی با سطح نمونه جمعآوری و به تصویر تبدیل میشوند، بهطوری که کنتراست تصویر وابسته به توپوگرافی و ترکیب شیمیایی سطح است. از این روش بهطور گسترده برای مطالعهی مورفولوژی فیلمهای نازک، نانوذرات، تخلخل و کیفیت پوششها استفاده میشود. ترکیب SEM با طیفسنجی پراکندگی انرژی پرتو ایکس (EDS) نیز امکان تحلیل همزمان مورفولوژی و ترکیب عنصری را فراهم کرده و درک جامعی از ساختار سطحی مواد ایجاد میکند. در ادامه با برخی از مثالهای مرتبط با شناسایی سطح و مورفولوژی مواد آشنا میشوید.

(ج) ۴۵۰۰۰، (د) ۱۰۰۰۰۰ برابر.



اندازه و توزیع اندازه
توزیع اندازه و شکل ذرات با استفاده از میکروسکوپ الکترونی روبشی (SEM) یکی از روشهای کلیدی در تحلیل ساختارهای ریز و نانومقیاس در مواد جامد است. در این روش، تصاویر با رزولوشن بالا از سطوح نمونه تهیه شده و با بهرهگیری از نرمافزارهای پردازش تصویر مانند ImageJ، پارامترهایی نظیر قطر معادل دایرهای (ECD)، نسبت طول به عرض (Aspect Ratio) و ضریب گردی (Circularity) استخراج میگردند. این پارامترها امکان تعیین میانگین اندازه ذرات، انحراف معیار و توزیع آماری آنها را فراهم میسازند. این روش در بررسی مواد نانوساختار، سرامیکها، کاتالیستها و شیشههای لیتیومسیلیکاتی نظیر Li₂Si₂O₅ کاربرد گستردهای دارد و بهعنوان ابزاری مؤثر برای ارتباط بین ریزساختار و خواص فیزیکی ماده شناخته میشود .

(a) تصویر SEM، (b) توزیع اندازه ذرات (میانگین قطر ذرات ۱۴ میکرومتر ± ۰.۹۱؛ انحراف معیار ۰.۹۱) و (ج-ه) تصاویر CLSM از میکروذرات دو قسمتی PLA/PLGA. ج) کانال آبی نشان دهنده فاز PLA و د) کانال قرمز نشان دهنده فاز PLGA ذرات است. ه) همپوشانی کانالهای آبی و قرمز. میلههای مقیاس نشان دهنده ۵ میکرومتر برای SEM و ۲۰ میکرومتر برای تصاویر CLSM هستند.
شکل و پراکندگی ذرات، الیاف، نانومواد یا هر افزودنی دیگر در کامپوزیتها و مخلوطها
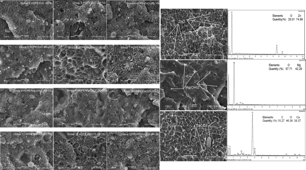
تحلیل شکل، اندازه و میزان پراکندگی ذرات، الیاف و نانومواد در کامپوزیتها با میکروسکوپ الکترونی روبشی (SEM) یکی از دقیقترین روشها برای ارزیابی کیفیت ریزساختار و کنترل خواص نهایی مواد است. در این روش، تصاویر با رزولوشن نانومتری امکان مشاهده تجمع ذرات (agglomeration)، یکنواختی توزیع، جهتگیری الیاف و برهمکنش فاز تقویتکننده با ماتریس را فراهم میکنند. حالتهای مختلف تصویربرداری مانند الکترونهای ثانویه برای بررسی توپوگرافی و الکترونهای برگشتی برای ایجاد کنتراست ترکیبی، همراه با آنالیز طیفسنجی X (EDS)، به تفکیک فازی و شناسایی ترکیب شیمیایی کمک میکنند. با پردازش تصاویر SEM در نرمافزارهایی مانند ImageJ، پارامترهایی نظیر توزیع اندازه، درصد سطح اشغالشده توسط فیلر، فاصله میان ذرات و شاخص تجمع محاسبه میشود که میتوان آنها را به طور مستقیم با خواص مکانیکی، حرارتی یا الکتریکی کامپوزیت مرتبط کرد. این رویکرد، ابزاری ضروری برای طراحی مواد پیشرفته و بهینهسازی عملکرد در صنایع هوافضا، خودرو، بستهبندی و نانوکامپوزیتها به شمار میرود.


ارتفاع و ابعاد جانبی مواد نانومتری
در اندازهگیری ارتفاع و ابعاد جانبی مواد نانومتری با SEM معمولاً از برهمکنش الکترونهای پرانرژی با سطح برای استخراج ضخامت ظاهری، قطر جانبی و مورفولوژی سهبعدی استفاده میشود. هرچند SEM بهصورت مستقیم ارتفاع را مانند AFM اندازهگیری نمیکند، اما از روی کنتراست توپوگرافی، زاویهدارکردن نمونه و مقاطع شکست میتوان تخمین کمّی از ارتفاع یا ضخامت لایههای نانومتری بهدست آورد؛ بهویژه در نانوسیمها، نانوصفحات و لایههای نازک پلیمری این مسئله کاربردی است. این روش، وقتی با تصویربرداری زاویهدار یا cross-section همراه شود، امکان برآورد ارتفاع لایههای CVD، نانوصفحات SiO₂ یا الیاف پلیمری را با وضوح بالا فراهم میکند و پایهٔ اصلی گزارشهای ساختاری در بسیاری از پژوهشهای نانومقیاس است. به عنوان مثال، در یک مقالهٔ مروری نوشتهٔ Addiego و همکاران (2025) بهطور سیستماتیک روشها و چالشهای مربوط به آنالیز مقطعی نانومتری برای تعیین ساختارِ لایههای نازک در مجموعههای چندلایه (material assemblies) مورد بررسی قرار گرفته است. مجموعههای فیلم نازک حاوی یک لایه چسبندگی (AdL) یا یک لایه رهایش (RL) با ضخامت به طور گستردهای در نیمههادیها، بردهای مدار الکتریکی، دستگاههای نوری و اپتوالکترونیکی، فوتودیودها و کاربردهای فوتونیک مورد استفاده قرار میگیرند. در شکل زیر ابعاد مربوط به یک نمونه فیلم نازک نمایش داده شده است.

اندازه و توزیع اندازه سلول در مواد فومی
آنالیز SEM یکی از روشهای اصلی برای تعیین توزیع اندازه سلولها در فومهای پلیمری است، زیرا با تصویربرداری مقاطع سطحی یا دارای شکست میتوان ابعاد هندسی حفرهها («cells» یا «pores») را با وضوح بالا نمایش داده و با استفاده از نرمافزار تحلیل تصویر مانند ImageJ، از میکروگرافهای SEM میتوان مساحت تکتک حفرهها را استخراج کرد و سپس قطر معادل، توزیع اندازه و ضریب پخش (پلیدیسپرسیتی) را محاسبه نمود. اهمیت این تحلیل در آن است که توزیع اندازه سلول رابطه مستقیمی با خواص مکانیکی، حرارتی و نفوذپذیری فوم دارد. توزیع یکنواختتر و سلولهای ریزتر معمولاً منجر به استحکام بالاتر و نفوذپذیری کمتر میشوند، در حالی که سلولهای بزرگتر یا نابرابر ممکن است موجب ضعف ساختاری یا تغییر در خواص حرارتی شوند.
به عنوان مثال در مطالعهٔ Guerin و همکارانش از SEM برای اندازهگیری قطر حفرات (pore diameters) استفاده شده است به طوریکه ابتدا تصاویر SEM گرفته شده و با استفاده از ImageJ مساحت حفرات را اندازهگیری کرده و قطر متوسط، انحراف معیار و PDI (ضریب پراکندگی اندازه) را محاسبه کردند.

ترکیب شیمیایی و تجزیه و تحلیل عنصری نانو و میکرومواد
در آنالیز ترکیب شیمیایی و سنجش عنصری نانو و میکرومواد با استفاده از میکروسکوپ الکترونی روبشی، معمولاً از سامانهٔ EDS (طیفسنجی پراکندگی انرژی پرتو X) و در موارد حساستر از WDS (پراکندگی طولموج) بهره گرفته میشود. در SEM، برخورد الکترونهای پرانرژی با نمونه باعث تولید پرتوهای X مشخصه میشود که شدت و انرژی آنها معرف حضور عناصر مختلف در مقیاسهای میکرونی تا چند ده نانومتر است. اگرچه تفکیک فضایی EDS به تعامل حجم الکترون وابسته است و برای نانوذرات کاملاً ایدهآل نیست، اما با کاهش ولتاژ شتابدهنده، استفاده از آشکارسازهای SDD و تنظیم هندسهٔ آشکارساز میتوان عمق برهمکنش را کم کرد و حساسیت سطحی را افزایش داد. برای نمونه، در یک پژوهش انجام شده توسط Arokiyaraj، Vincent، Saravanan، Lee و Kim از SEM برای مشاهدهٔ شکل و مورفولوژی نانوذرات نقره و طلا سنتزشده با عصارهٔ Euphrasia officinalis استفاده کردند و نشان دادند که ذرات عمدتاً کروی و یکنواخت تشکیل شدهاند. همچنین با بهرهگیری از EDAX/EDS ترکیب عنصری نانوذرات تأیید شد و حضور قلههای مشخصهٔ Ag و Au در طیف پراکندگی انرژی پرتو X گزارش گردید. این دو تکنیک در کنار یکدیگر، اطلاعات مکملی دربارهٔ ساختار و خلوص عنصری نانوذرات فراهم کردند.

تجزیه و تحلیل شکستگی و نقصهای ساختاری
تحلیل شکستگی و نقصهای ساختاری با استفاده از میکروسکوپ الکترونی روبشی (SEM) یکی از روشهای کلیدی برای شناسایی رفتار مکانیکی و ارزیابی کیفیت مواد در مقیاس ریزساختاری است. این روش با ارائه بزرگنماییهای بالا و وضوح مناسب، امکان بررسی دقیق ویژگیهایی مانند ترکها، ناپیوستگیها، تخلخل، حفرهها و لایهلایهشدگی را فراهم میکند. در شکستهای ترد، تصاویر SEM معمولاً نشاندهند صفحات شکست و الگوهای مشخصی از انتشار ترک هستند؛ درحالیکه شکستهای نرممکانیکی با حضور ریزحفرهها و ساختارهای جاممانند (dimple) که حاصل رشد و همپیوستگی حفرهها است، تشخیص داده میشوند.
در مواد چندفازی و کامپوزیتی، SEM نقشی مؤثر در شناسایی رفتار مرزی بین فازها، جدایش ماتریس و تقویتکننده، و نواحی تمرکز تنش دارد؛ نواحیای که اغلب محل آغاز و انتشار ترک محسوب میشوند. ترکیب تصاویر SEM با تحلیل عنصری EDS نیز امکان ردیابی منشأ نقصها از جمله آلودگیهای سطحی، اکسیداسیون، یا ناهمگنیهای شیمیایی را فراهم میسازد.
بهکارگیری این دادهها سبب میشود مکانیزم شکست، مسیر انتشار ترک و عوامل مؤثر بر تضعیف ساختار بهصورت دقیقتر شناسایی شوند. این اطلاعات برای بهینهسازی فرآیندهای ساخت، افزایش دوام قطعات و پیشبینی رفتار مکانیکی مواد در شرایط سرویس، اهمیت ویژهای دارد.
به عنوان مثال، در یک پژوهش انجام شده توسط س. سالمی و همکارانش از آنالیز SEM برای تحلیل ریزساختار و عیوب نمونههای Inconel 625 ساختهشده با LPBF استفاده کرده و با بررسی سطح شکست نمونهها، مکانیزم شکست و تأثیر نقصهای فرایندی مانند تخلخل ها و میکروترکها را مورد بررسی قرار دادند. تصاویری از آنالیز SEM مورد استفاده در این پژوهش در زیر آورده شده است.

جمعبندی
میکروسکوپ الکترونی روبشی یکی از ابزارهای بنیادی و تحولآفرین در علوم و صنایع مدرن است. توانایی آن در ارائه تصاویر سهبعدی با وضوح بالا و انجام آنالیزهای عنصری و بلوری، آن را به ابزاری بیبدیل در پژوهشهای میانرشتهای تبدیل کرده است. با این حال، محدودیتهایی مانند نیاز به خلأ، آمادهسازی پیچیده نمونهها و آسیب پرتوی، همچنان چالشبرانگیز هستند.
پیشرفتهای اخیر مانند SEM محیطی، FIB-SEM و استفاده از الگوریتمهای هوش مصنوعی نشان میدهد که این فناوری هنوز در مسیر تکامل است. انتظار میرود در آینده، دستگاههای SEM بتوانند با رزولوشن بالاتر، شرایط نزدیکتر به محیط طبیعی و پردازش سریعتر، مرزهای علم و فناوری را بیش از پیش گسترش دهند.
بدون تردید، SEM همچنان یکی از ستونهای اصلی علوم مدرن خواهد بود؛ ابزاری که از مقیاس سلولی تا نانوساختارهای پیچیده، امکان مشاهده و درک عمیقتری از جهان اطراف ما را فراهم میکند.
مراجع
https://www.mdpi.com/2075-163X/10/11/1022
https://dergipark.org.tr/en/pub/injirr/issue/64197/979106
https://pubs.rsc.org/en/content/articlelanding/2015/ce/c5ce00960j
https://epg.science.cmu.ac.th/ejournal/journal-detail.php?id=11711
https://www.mdpi.com/2223-7747/13/15/2140
https://pubs.rsc.org/en/content/articlelanding/2010/nr/c0nr00421a
ما داده های خام به دست آمده از آنالیزهای زیر را بررسی و تفسیر میکنیم:

طیفسنجی مادون قرمز تبدیل فوریه (FT-IR)
آنالیز عنصری (…,ICP, CHN, XRF, EDAX)
مغناطیس سنج نمونه ارتعاشی (VSM)
میکروسکوپ الکترونی روبشی (SEM)
میکروسکوپ الکترونی عبوری (TEM)

برای تفسیر نتایج آنالیز SEM نیاز به کمک دارید؟
برای ثبت سفارش و یا دریافت مشاوره رایگان
09398565101 (تماس در ساعات اداری، تلگرام یا واتساپ)

